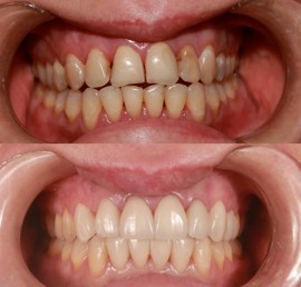
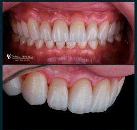
Известно, что слишком короткая уздечка ведет к появлению нежелательных межзубных просветов, оголению корней, затруднениям при пережевывании пищи, появлению неправильного прикуса. Однако, существуют эффективные пластические манипуляции, которые удлиняют уздечку абсолютно безболезненно.


